Skip to content
TheWell BioscienceTheWell BioscienceTheWell Bioscience
  • Menu
  • ×
  • CUSTOMER SERVICE: 1.866.3D.CELLS

  • CONTACT US

  • Cart
  • Menu
    • Applications
      • ApplicationsVitroGel-ORGANOID-intestinal-organoids
        • Explore multiple applications with VitroGel®

      • Advanced 3D Cell Models
        • Intestinal 3D Cell Model
        • 3D Breast Cancer Models with VitroGel®
          • Normal Human Breast Explant Model
        • Advanced 3D cell models for Lab Automation
      • In Vitro Applications
        • Organoids
        • Stem Cells
        • 3D Cell Culture
        • 2D Hydrogel Coating
        • 3D Cell Viability
        • Other Applications
      • In Vivo Applications
        • Xenograft (PDX & CDX)
        • Tissue Engineering
      • Functional Assay
        • Angiogenesis Assay
        • Cell Invasion Assay
    • 3D Cell Products
        • VitroGel® Hydrogel Overviewvitrogel-vs-animal-based-ecm
          • What is VitroGel®?
          • Comparison Between VitroGel® vs. Animal-Based ECM
          • How Gelation Works in VitroGel®
          • Unique Injectable Properties of VitroGel®
          • How Cell Harvesting Works in VitroGel®
        • Ready-To-Use Hydrogels
          • VitroGel® Starter Kit
          • VitroGel® Hydrogel Matrix
          • VitroGel® ORGANOID
          • VitroGel® STEM
          • VitroGel® MSC
          • VitroGel® HEK293
          • VitroGel® NEURONNEW
          • Assay Kits
            • VitroGel® Cell Invasion Assay Kit
            • VitroGel® HC Cell Invasion Assay Kit
            • VitroGel® Angiogenesis Assay Kit
            • VitroGel® Angiogenesis Assay HC Kit
        • Tunable Hydrogels – High Concentration Kits
          • VitroGel® Starter Kit
          • VitroGel® 3D Kit
          • VitroGel® RGD Kit
          • VitroGel® COL Kit
          • VitroGel® MMP Kit
          • VitroGel® IKVAV Kit
          • VitroGel® YIGSR Kit
          • Cell Culture Plates
            • VitroPrime™ Spread-Attach PlatesNEW
            • VitroPrime™ Cell Culture InsertsNEW
            • VitroPrime™ Ultra-Low Attachment, U-Bottom, 96-WellNEW
        • Support Mediums
          • VitroGel® Organoid Recovery Solution
          • VitroGel® Cell Recovery Solution
          • VitroGel® Dilution Solution
        • Biomarkers
          • Xeno-free Cell Culture Medium
            • RocetCell™ Xeno-Free Mediums
          • Cyto3D® Live-Dead Assay Kit
        • Hydrogel Supplements
          • CytoGrow™ Growth FactorsNEW
          • AAK Supplements
      • Bioink Products
          • VitroINK Bioinks Overviewbioink logo
            • VitroINK® is a new generation of xeno-free functional bioink system that can print without UV, heat curing, or chemical cross-linking.
              More >

          • Bioinks
            • VitroINK® 3D
            • VitroINK® RGD
            • VitroINK® COL
            • VitroINK® MMP
            • VitroINK® IKVAV
            • VitroINK® YIGSR
          • Bioink Starter Kits
            • VitroINK® 3D | Starter Kit
            • VitroINK® RGD | Starter Kit
            • VitroINK® COL | Starter Kit
            • VitroINK® MMP | Starter Kit
            • VitroINK® IKVAV | Starter Kit
            • VitroINK® YIGSR | Starter Kit
          • Bioprinting – Accessories
            • Mixing Kits
            • Nozzle Tips
            • Needle Tips
          • Video Protocols
            • VitroINK Mixing Kit – Video Demo
        • Resources
            • VitroGel® Technology
              • What is VitroGel®?
              • Comparison Between VitroGel® vs. Animal-Based ECM
              • How Gelation Works
              • 5 Cell Culture Methods with VitroGel
              • Unique Injectable Properties of VitroGel®
              • How Cell Harvesting Works
              • Mix & Match – Full ECM Control
            • FAQ, Protocols and Guides
              • FAQ – Frequent Questions
              • Protocols and Guidelines
              • Video Protocols
              • Hydrogel Guide
                • Cell Type to Hydrogel Guide
                • Hydrogel Guide Connection
                • Why 3D Cell Culture?
            • Scientific Resources
              • Publications/References
              • Application Notes
              • Blog
              • Poster Presentations
              • Research Highlights
              • Webinars
              • White Papers
            • Services
              • Custom 3D Cell Culture Services
          • Company
              • About/Contact Us
              • Conference Schedule
              • News & Events
              • Careers
              • Find A Distributor
          • Login / Register
          • Cart
            Cart

            No products in the cart.

            Return to shop

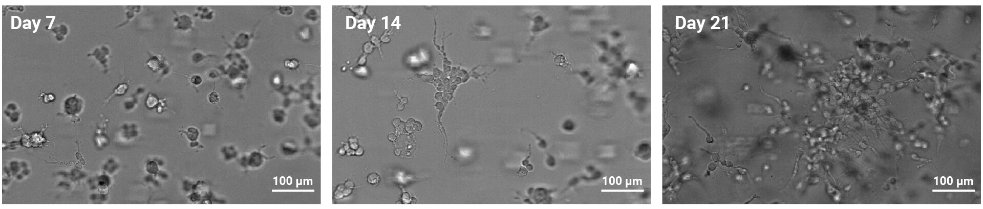
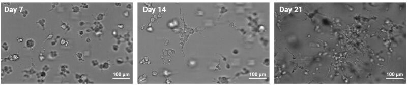
          DATA_VitroGel NEURON_3D Neuronal Culture-B35-Cell

          Published September 9, 2025 at 1920 × 409 in DATA_VitroGel NEURON_3D Neuronal Culture-B35-Cell
          Both comments and trackbacks are currently closed.
          ← Previous
          Next →
          Quick Links

          Distributors
          Conference Schedule
          News & Events
          Products

          Get The Newsletter
          Resources
          Application Notes
          Knowledge Base/FAQ
          Publications/References
          Research Highlights
          Video Protocols
          Webinars

          Ordering Support
          Track Online Orders Status
          Latest Application Notes
          • Evaluating Spheroid Invasion with VitroGel® Hydrogel Matrix in VitroPrime™ Ultra-Low Attachment, U-Bottom, 96-well Plate

          • Quick and Efficient Organoid/Cell Recovery from Animal-Based Extracellular Matrix

          • Using the Xeno-free VitroGel® Cell Invasion Assay Kits to Perform both Traditional and Complex Cell Mobility Studies

          Contact Info
          TheWell Bioscience Inc.
          1 Deerpark Dr, Ste C
          Monmouth Junction, NJ 08852

          866.3D.CELLS | 866.332.3357
          Phone:    +1 973.855.4955
          Faxes:    +1 973.755.9670
          Email: info@thewellbio.com
          Email: support@thewellbio.com


           

          Connect with Us

          3D CELL CULTURE AND BEYOND

          © 2025 TheWell Bioscience Inc. All rights reserved. For Research Use Only. Not for use in diagnostic procedures.

          Privacy Policy | Terms and Conditions

          • ×
          • Applications
            • [Row]
              • Applications
                • [Custom]
              • Advanced 3D Cell Models
                • Intestinal 3D Cell Model
                • 3D Breast Cancer Models with VitroGel®
                  • Normal Human Breast Explant Model
                • Advanced 3D cell models for Lab Automation
              • In Vitro Applications
                • Organoids
                • Stem Cells
                • 3D Cell Culture
                • 2D Hydrogel Coating
                • 3D Cell Viability
                • Other Applications
              • In Vivo Applications
                • Xenograft (PDX & CDX)
                • Tissue Engineering
              • Functional Assay
                • Angiogenesis Assay
                • Cell Invasion Assay
          • 3D Cell Products
            • [Row]
            • VitroGel® Hydrogel Overview
              • What is VitroGel®?
              • Comparison Between VitroGel® vs. Animal-Based ECM
              • How Gelation Works in VitroGel®
              • Unique Injectable Properties of VitroGel®
              • How Cell Harvesting Works in VitroGel®
            • Ready-To-Use Hydrogels
              • VitroGel® Starter Kit
              • VitroGel® Hydrogel Matrix
              • VitroGel® ORGANOID
              • VitroGel® STEM
              • VitroGel® MSC
              • VitroGel® HEK293
              • VitroGel® NEURON
              • Assay Kits
                • VitroGel® Cell Invasion Assay Kit
                • VitroGel® HC Cell Invasion Assay Kit
                • VitroGel® Angiogenesis Assay Kit
                • VitroGel® Angiogenesis Assay HC Kit
            • Tunable Hydrogels – High Concentration Kits
              • VitroGel® Starter Kit
              • VitroGel® 3D Kit
              • VitroGel® RGD Kit
              • VitroGel® COL Kit
              • VitroGel® MMP Kit
              • VitroGel® IKVAV Kit
              • VitroGel® YIGSR Kit
              • Cell Culture Plates
                • VitroPrime™ Spread-Attach Plates
                • VitroPrime™ Cell Culture Inserts
                • VitroPrime™ Ultra-Low Attachment, U-Bottom, 96-Well
            • Support Mediums
              • VitroGel® Organoid Recovery Solution
              • VitroGel® Cell Recovery Solution
              • VitroGel® Dilution Solution
            • Biomarkers
              • Xeno-free Cell Culture Medium
                • RocetCell™ Xeno-Free Mediums
              • Cyto3D® Live-Dead Assay Kit
            • Hydrogel Supplements
              • CytoGrow™ Growth Factors
              • AAK Supplements
          • Bioink Products
            • [Row]
            • VitroINK Bioinks Overview
              • [Custom]
            • Bioinks
              • VitroINK® 3D
              • VitroINK® RGD
              • VitroINK® COL
              • VitroINK® MMP
              • VitroINK® IKVAV
              • VitroINK® YIGSR
            • Bioink Starter Kits
              • VitroINK® 3D | Starter Kit
              • VitroINK® RGD | Starter Kit
              • VitroINK® COL | Starter Kit
              • VitroINK® MMP | Starter Kit
              • VitroINK® IKVAV | Starter Kit
              • VitroINK® YIGSR | Starter Kit
            • Bioprinting – Accessories
              • Mixing Kits
              • Nozzle Tips
              • Needle Tips
            • Video Protocols
              • VitroINK Mixing Kit – Video Demo
          • Resources
            • [Row]
            • VitroGel® Technology
              • What is VitroGel®?
              • Comparison Between VitroGel® vs. Animal-Based ECM
              • How Gelation Works
              • 5 Cell Culture Methods with VitroGel
              • Unique Injectable Properties of VitroGel®
              • How Cell Harvesting Works
              • Mix & Match – Full ECM Control
            • FAQ, Protocols and Guides
              • FAQ – Frequent Questions
              • Protocols and Guidelines
              • Video Protocols
              • Hydrogel Guide
                • Cell Type to Hydrogel Guide
                • Hydrogel Guide Connection
                • Why 3D Cell Culture?
            • Scientific Resources
              • Publications/References
              • Application Notes
              • Blog
              • Poster Presentations
              • Research Highlights
              • Webinars
              • White Papers
            • Services
              • Custom 3D Cell Culture Services
          • Company
            • [Row]
            • About/Contact Us
            • Conference Schedule
            • News & Events
            • Careers
            • Find A Distributor
          • Newsletter
          • CUSTOMER SERVICE: 1.866.3D.CELLS

          • CONTACT US

          Cookie SettingsAccept All
          We use cookies on our website to give you the most relevant experience by remembering your preferences and repeat visits. By clicking “Accept All”, you consent to the use of ALL the cookies. However, you may visit "Cookie Settings" to provide a controlled consent.
          Manage consent

          Privacy Overview

          This website uses cookies to improve your experience while you navigate through the website. Out of these, the cookies that are categorized as necessary are stored on your browser as they are essential for the working of basic functionalities of the website. We also use third-party cookies that help us analyze and understand how you use this website. These cookies will be stored in your browser only with your consent. You also have the option to opt-out of these cookies. But opting out of some of these cookies may affect your browsing experience.
          Necessary
          Always Enabled
          Necessary cookies are absolutely essential for the website to function properly. These cookies ensure basic functionalities and security features of the website, anonymously.
          CookieDurationDescription
          cookielawinfo-checkbox-analytics11 monthsThis cookie is set by GDPR Cookie Consent plugin. The cookie is used to store the user consent for the cookies in the category "Analytics".
          cookielawinfo-checkbox-functional11 monthsThe cookie is set by GDPR cookie consent to record the user consent for the cookies in the category "Functional".
          cookielawinfo-checkbox-necessary11 monthsThis cookie is set by GDPR Cookie Consent plugin. The cookies is used to store the user consent for the cookies in the category "Necessary".
          cookielawinfo-checkbox-others11 monthsThis cookie is set by GDPR Cookie Consent plugin. The cookie is used to store the user consent for the cookies in the category "Other.
          cookielawinfo-checkbox-performance11 monthsThis cookie is set by GDPR Cookie Consent plugin. The cookie is used to store the user consent for the cookies in the category "Performance".
          viewed_cookie_policy11 monthsThe cookie is set by the GDPR Cookie Consent plugin and is used to store whether or not user has consented to the use of cookies. It does not store any personal data.
          Functional
          Functional cookies help to perform certain functionalities like sharing the content of the website on social media platforms, collect feedbacks, and other third-party features.
          Performance
          Performance cookies are used to understand and analyze the key performance indexes of the website which helps in delivering a better user experience for the visitors.
          Analytics
          Analytical cookies are used to understand how visitors interact with the website. These cookies help provide information on metrics the number of visitors, bounce rate, traffic source, etc.
          Advertisement
          Advertisement cookies are used to provide visitors with relevant ads and marketing campaigns. These cookies track visitors across websites and collect information to provide customized ads.
          Others
          Other uncategorized cookies are those that are being analyzed and have not been classified into a category as yet.
          SAVE & ACCEPT
          Powered by CookieYes Logo

          Please fill out the form below to download the
          White Paper

          3D Cell Culture Scale-up by Using VitroGel® Hydrogel Matrix embedding in CelVivo ClinoReactor™ - Whitepaper
          First Name
          Last Name
          I acknowledge and agree to TheWell Bioscience website terms of use and privacy policy *

          Please fill the form below to download the
          Application Note

          App Note - Evaluating Spheroid Invasion with VitroGel® in VitroPrime Ultra-Low Attachment Plate
          First Name
          Last Name
          I acknowledge and agree to TheWell Bioscience website terms of use and privacy policy *

          2025 Travel Award Application

          Please fill out the form below to apply for the reward.

          Poster Presentation Award

          Presentation Details

          (please send an email to info@thewellbio.com once your abstract is accepted)
          Poster #
          URL link to abstract

          Maximum file size: 516MB

          (Upload multiple files if needed. The data will be used for award review only)

          Please fill the form below to download the
          White Paper

          A Quick Organoid Viability Measurement by Using Cyto3D® Live-Dead Assay Kit - Whitepaper
          First Name
          Last Name
          I acknowledge and agree to TheWell Bioscience website terms of use and privacy policy *

          NEWSLETTER SIGNUP
          For promotion discounts, events updates and product news.

          Newsletter Signup
          First Name
          Last Name
          I acknowledge and agree to TheWell Bioscience website terms of use and privacy policy *

          Login

          Lost your password?

          Register

          Your personal data will be used to support your experience throughout this website, to manage access to your account, and for other purposes described in our privacy policy.